Η Ellie Jones γεννήθηκε με συγγενική παραμόρφωση στο πρόσωπό της. Τα δόντια της δεν ήταν ευθυγραμμισμένα και παράλληλα το σαγόνι του μικρού κοριτσιού δεν είχε μεγαλώσει από την ηλικία των 8 ετών.
Το αποτέλεσμα ήταν να δέχεται για το μεγαλύτερο χρονικό διάστημα της ζωής της bullying τόσο στο σχολείο όσο και στην καθημερινότητά της έξω από αυτό. Μάλιστα, οι συμμαθητές της την επηρέαζαν, καθώς τη χλεύαζαν για την εξωτερική εμφάνισή της. Αυτό είχε ως αποτέλεσμα, η ίδια, να μην έχει αυτοπεποίθηση και να είναι στενοχωρημένη.

Ellie Jones: Την κορόιδευαν από παιδί, με μία επέμβαση άλλαξε τη ζωή της
Η ίδια και ο οικογενειακός της περίγυρος αποφάσισαν να μη μείνουν με σταυρωμένα χέρια. Θέλησαν να προχωρήσουν σε μία χειρουργική επέμβαση. Μέσω αυτής της επέμβασης επιδιώκονταν να διορθωθούν όσα ενοχλούσαν την Ellie Jones, τα οποία κρατούσαν και την ψυχολογία της στο ναδίρ.

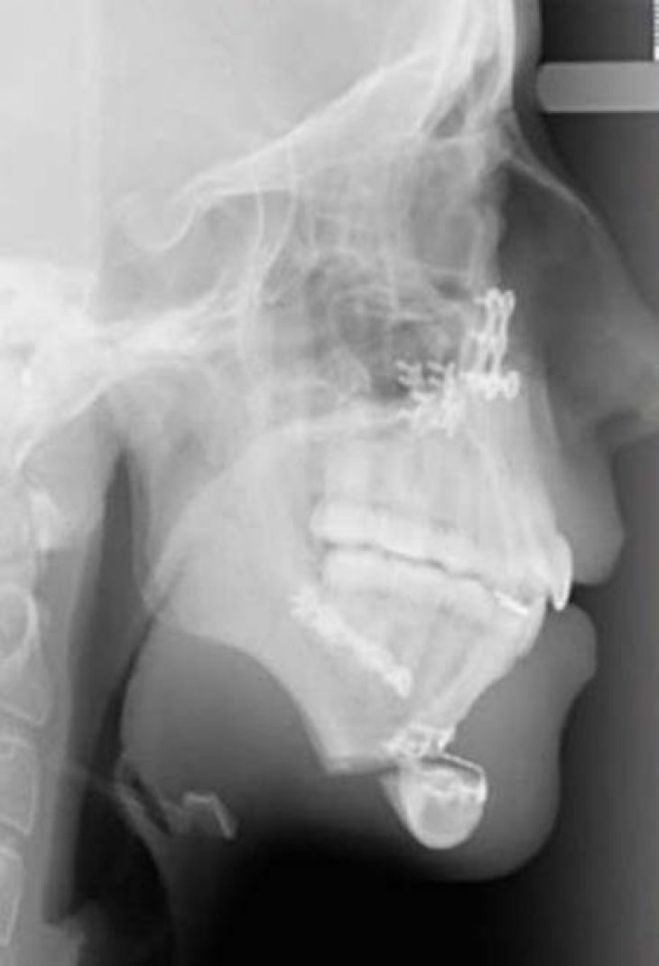
Η οικογένεια επισκέφθηκε έναν γναθοχειρουργό, ο οποίος βοήθησε στη μεταμόρφωση της Ellie Jones. Το πρώτη χειρουργείο προκάλεσε πολύ πόνο στην 20χρονη. Ήταν ιδιαίτερα δύσκολο σαν χειρουργείο και στο τέλος του έπρεπε να κάνει σωστή διατροφή. Αυτή εμπεριείχε μόνο υγρά για χρονικό διάστημα ενός μηνός, ενώ στο ξεκίνημα δεν μπορούσε να μιλήσει.
Ellie Jones: Την κορόιδευαν από παιδί, αλλά σήμερα η 20χρονη δίνει την καλύτερη απάντηση και παίρνει την «εκδίκησή» της


Στο χειρουργείο, που ακολούθησε, το οποίο ήταν δεύτερο κατά σειρά μπόρεσε να διορθώσει το πηγούνι της. Έτσι, μπόρεσε να μεταμορφωθεί και να φτιάξει παράλληλα και την ψυχολογία της.
«Η χειρουργική επέμβαση δεν έχει αλλάξει μόνο τον τρόπο που κοιτάζουν την Ellie, αλλά και τον τρόπο που η ίδια βλέπει τον εαυτό της. Η αυτοπεποίθηση της έχει αυξηθεί και η ίδια έχει εξελιχθεί σε μια όμορφη νεαρή κοπέλα».
Εικόνες της Ellie Jones πριν και μετά:










